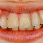
منظور از پستانک ارتودنسی چیست؟
پستانک ارتودنسی یکی از معدود ابزارهاییست که میتواند هم کودک را آرام کند و هم از ساختار در حال رشد فک و دندان او محافظت کند. این نوع پستانک با طراحی آناتومیک خود تلاش میکند فشار مکیدن را به شکلی طبیعیتر در دهان نوزاد توزیع کند؛ درست مشابه حالتی که…










