اطلاعات عمومی

روش‌های جدید ارتودنسی دندان

معرفی روش‌های جدید ارتودنسی دندان؛ زیباتر کردن لبخند بدون دردسر

امروزه ارتودنسی دیگر تنها محدود به براکت‌های فلزی سنتی نیست. با پیشرفت فناوری‌های دندانپزشکی و ابزارهای نوین، روش‌های جدید ارتودنسی دندان امکان اصلاح ناهنجاری‌های دندانی و فکی را بدون درد و با زیبایی بیشتر فراهم کرده‌اند. این روش‌ها، ضمن کاهش زمان درمان و افزایش راحتی بیمار، زیبایی لبخند را به…
ادامه مطلب
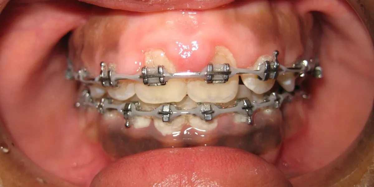
دندان های غایب در ارتودنسی

ارتودنسی در بیماران با دندان‌های غایب؛ روش‌ها و نتایج

وجود دندان‌های غایب یکی از چالش‌های پیچیده در برنامه‌ریزی درمان ارتودنسی محسوب می‌شود. دندان های غایب در ارتودنسی (یا همان آژنزیا دندانی) ممکن است به دلایل ژنتیکی، تروما یا کشیدن زودهنگام دندان‌ها ایجاد شوند. این وضعیت می‌تواند بر عملکرد، زیبایی و تعادل بایت تأثیر بگذارد و برنامه ارتودنسی را به…
ادامه مطلب
زردی دندان بعد از ارتودنسی

علت زرد شدن دندان بعد از ارتودنسی و روش‌های درمان

ارتودنسی یکی از روش‌های مؤثر برای اصلاح ناهنجاری‌های فک و نظم دندان‌هاست، اما بسیاری از بیماران پس از پایان درمان متوجه تغییر رنگ یا زردی دندان بعد از ارتودنسی می‌شوند. این پدیده ممکن است نگران‌کننده باشد، اما قابل پیشگیری و درمان است. در این مقاله به بررسی دقیق علل، روش‌های…
ادامه مطلب
جابه‌جایی دندان عقل با ارتودنسی

آیا دندان عقل با ارتودنسی جا به‌ جا می‌ شود؟ بررسی علمی

دندان‌های عقل، که به عنوان دندان‌های سوم مولر نیز شناخته می‌شوند، معمولاً بین سنین ۱۷ تا ۲۵ سال ظاهر می‌شوند و یکی از مسائل رایج در دندانپزشکی و ارتودنسی هستند. بسیاری از بیماران و والدین این سوال را دارند که آیا جابجایی دندان عقل با ارتودنسی امکان‌پذیر است یا خیر…
ادامه مطلب
علائم پوسیدگی دندان در ارتودنسی

علائم پوسیدگی دندان در حین ارتودنسی و روش‌ های پیشگیری

ارتودنسی دندان به‌عنوان یکی از پرکاربردترین روش‌های درمان ناهنجاری‌های دندانی شناخته می‌شود. این درمان می‌تواند زیبایی و سلامت دهان و دندان را به‌طور همزمان بهبود بخشد، اما در طول دوره درمان، ریسک ایجاد پوسیدگی دندان افزایش می‌یابد. شناخت علائم پوسیدگی دندان در ارتودنسی و روش‌های پیشگیری از آن، کلید حفظ…
ادامه مطلب
براکت ارتودنسی رنگ قرمز

چرا براکت ارتودنسی رنگ قرمز محبوب است؟ راهنمای انتخاب بهترین رنگ

در دنیای مدرن دندانپزشکی، درمان‌های ارتودنسی تنها برای صاف کردن دندان‌ها به کار نمی‌روند، بلکه به بخشی از سبک زندگی و زیبایی فردی تبدیل شده‌اند. براکت‌ها در حال حاضر نه‌تنها ابزاری درمانی بلکه عنصری زیباشناسانه هستند. انتخاب رنگ براکت، بیانگر روحیه، سلیقه و حتی اعتماد به نفس افراد است. در…
ادامه مطلب
آیا ایمپلنت دندان خراب می‌ شود

آیا ایمپلنت دندان خراب می‌ شود؟ نکات مهم + راه‌ های پیشگیری

شگفت‌انگیز است که چطور یک پایه تیتانیومی کوچک می‌تواند لبخندی کامل و بادوام را به ما بازگرداند. ایمپلنت دندان، برای بسیاری، معجزه‌ای در دندان‌پزشکی مدرن محسوب می‌شود؛ اما همان‌طور که هر درمانی نقاط قوت و محدودیت‌های خودش را دارد، این سؤال مطرح می‌شود: آیا ایمپلنت دندان خراب می‌ شود؟ پاسخ…
ادامه مطلب
مقایسه ترمیم همرنگ با غیر همرنگ

مقایسه ترمیم همرنگ (کامپوزیت) با غیر همرنگ (امالگام) | مزایا معایب و موارد تجویز

مقایسه ترمیم همرنگ با غیر همرنگ یکی از مباحث مهم در دندانپزشکی است که تأثیر زیادی بر انتخاب نوع ترمیم دندان‌ها دارد. وقتی صحبت از ترمیم دندان‌های آسیب‌دیده می‌شود، انتخاب ماده‌ای مناسب نه تنها به عملکرد بلکه به زیبایی دندان‌ها نیز بستگی دارد. دو نوع اصلی ترمیم دندان وجود دارد:…
ادامه مطلب
بهترین مرکز ایمپلنت دیجیتال

بهترین مرکز ایمپلنت دیجیتال

فناوری دندانپزشکی وارد عصر تازه‌ای شده است؛ عصری که در آن دقت میلی‌متری، درد کمتر و نتایج ماندگار دیگر رویا نیست. «ایمپلنت دیجیتال» یکی از دستاوردهای نوین این عصر است که به‌کمک اسکن‌های سه‌بعدی، طراحی دقیق و جراحی کم‌تهاجمی، کاشت دندان را به سطحی بالاتر رسانده. اگر شما هم به‌دنبال…
ادامه مطلب
موارد منع استفاده از ونیر سرامیکی

در‌چه مواردی بهتر است از ونیر سرامیکی استفاده نشود؟

لبخند زیبا به‌عنوان یک برگ برنده اجتماعی شناخته می‌شود، ونیر سرامیکی به‌عنوان یکی از پرطرفدارترین روش‌های زیبایی دندان معرفی شده است. اما نکته‌ای که بسیاری از افراد از آن غافل‌اند، این است که موارد منع استفاده از ونیر سرامیکی نه‌تنها وجود دارد، بلکه نادیده گرفتن آن می‌تواند منجر به شکست…
ادامه مطلب
اکنون تماس بگیرید